
Чтобы иметь возможность побольше узнать про такой порок как миксоматозная дегенерация створок митрального клапана, что это такое и как с этим бороться, рассмотрим далее. Речь идет про утолщение и растяжение створок клапана, способствующее неплотному их смыканию. Как результат – образование обратного кровотока, направленного в сторону желудочков.
Выделяют несколько степеней патологии, в зависимости от которых меняются и прогнозы для человека, будет приниматься решение про назначение эффективного лечения:
- 1 степень – здесь наблюдается утолщение створок клапана до 3-5 мм. Такие изменения не нарушают их смыкания, поэтому и симптомы патологии у человека обычно отсутствуют. Врачи не бьют тревогу при диагностике такой стадии болезни, рекомендуют пересмотреть образ жизни, проводить профилактические осмотры два раза в год;
- 2 степень – створки растянуты, более утолщены, их показатели достигают 5-8 мм. Кроме того, наблюдается деформация контура митрального отверстия. Диагностируется растяжение и единичные разрывы хорд. Смыкание створок нарушено;
- 3 степень – утолщение митральных створок заметно очень хорошо, толщина их превышает 8 мм. Наблюдается деформация митрального кольца, растяжение и разрывы хорд. Смыкание створок полностью отсутствует.
Вывод: 1 стадия патологии считается безопасной, здесь не наблюдается нарушений в работе сердца, отсутствует регургитация (обратный кровоток). На 2 и 3 стадии кровь в определенном объеме возвращается назад, потому, как смыкание створок нарушено или полностью отсутствует. Такое положение вещей не стоит оставлять без внимания, потому как высокий риск развития серьезных осложнений.
Важно! Чтобы левый желудочек мог справляться с объемами крови, увеличившимися за счет обратного кровотока, он начнет увеличиваться в размерах. Как следствие – гипертрофия ЛЖ. Но, это только одно из негативных последствий рассматриваемого нами порока.
Известно, что миксоматозная дегенерация створок митрального клапана с возрастом только прогрессирует. Появляется риск дополнительных осложнений: недостаточность МК, бактериальный эндокардит, инсульт, внезапная смерть. Прогнозы не утешительны, поэтому стоит позаботиться о возможности своевременного выявления этой патологии, позволяющей как можно скорее принять эффективные меры по ее лечению и предотвращению осложнений.
Признаки МД
На начальной стадии любые признаки будут отсутствовать, потому, как в этом случае кровообращение не нарушено, регургитация полностью отсутствует. Но, с переходом болезни на более серьезный этап, человек будет ощущать следующие симптомы:
- снижение работоспособности, общая слабость, быстрая утомляемость даже при минимальных нагрузках;
- одышка, появляющаяся при минимальной физической или эмоциональной нагрузке, чувство нехватки воздуха;
- боли в сердце, которые чаще всего проявляются в виде покалывания. Возникают периодически, имеют непродолжительный характер;
- головокружение, сопровождающееся аритмией, часто приводящее человека к предобморочному состоянию;
- кашель, его стоит рассматривать как дополнительный симптом, который может и не проявляться. Сначала он сухой, потом сопровождается выделением мокроты, которая может содержать прожилки крови.
При посещении доктора признаки нарушения работы сердечной системы в первую очередь будут замечены при прослушивании сердца. Врач услышит шумы, которые сопровождают обратный отток крови к желудочку. Уже это сможет стать поводом для более детального обследования, включающего в себя сбор анамнеза, лабораторные анализы, электрокардиографию, эхокардиографию.
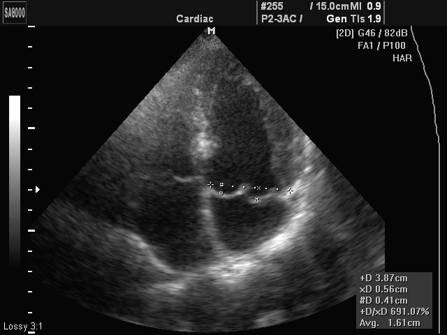
Если электрокардиография покажет только наличие нарушения, его стадию, то УЗИ сердца сможет дать более полное информирование, потому как позволит определить размеры створок, особенности их деформации, проще говоря, все патологические изменения, имеющие место в данном случае.
Миксоматозная дегенерация митрального клапана вызывает значительное внимание среди кардиологов и хирургов. Врачи отмечают, что это заболевание, характеризующееся изменением структуры клапана, может приводить к его недостаточности и, как следствие, к развитию сердечной недостаточности. Специалисты подчеркивают, что ранняя диагностика и регулярное наблюдение за пациентами с этой патологией имеют решающее значение. Врачи рекомендуют проводить эхокардиографическое исследование для оценки степени поражения клапана и определения тактики лечения. В некоторых случаях может потребоваться хирургическое вмешательство, особенно при выраженной недостаточности. Важно, чтобы пациенты были информированы о возможных симптомах и своевременно обращались за медицинской помощью, что значительно улучшает прогноз и качество жизни.

Как лечить МД
На начальном этапе развития болезни лечение будет отсутствовать, потому, как в нем не будет острой потребности. Пациенту будут рекомендовать только систематическое посещение кардиолога с целью определения интенсивности прогрессирования состояния, контроля патологии.
Если миксоматозная дегенерация створок митрального клапана начнет усугубляться, человеку назначат ряд медикаментов, которые помогут бороться с симптомами, замедлить развитие недуга. Это препараты, выводящие лишнюю жидкость из организма, таким образом, снимающие с сердца лишнюю нагрузку; лекарства, восстанавливающие ЧСС, устраняющие аритмию, другие медикаменты, которые будут актуальны в данном случае.
Миксоматозная дегенерация митрального клапана — это состояние, о котором все чаще говорят как врачи, так и пациенты. Многие отмечают, что это заболевание может протекать бессимптомно, что затрудняет его раннюю диагностику. Люди, столкнувшиеся с этой проблемой, делятся своими переживаниями о том, как важно следить за состоянием сердца и регулярно проходить обследования. Некоторые пациенты рассказывают о том, что после постановки диагноза начали вести более здоровый образ жизни, включая правильное питание и физическую активность. В то же время, обсуждаются и возможные осложнения, такие как сердечная недостаточность, что вызывает беспокойство. Важно отметить, что многие находят поддержку в сообществах, где делятся опытом и советами по управлению заболеванием.
Профилактика МД

Соответственно, о мерах профилактик в данном случае говорить сложно. Единственное, что поможет сохранить здоровье сердца и продлить его работу на много лет – это здоровый образ жизни, от этого состояние здоровья организма каждого из нас зависит на 80%, в том числе и работа главного его мотора – сердца. Поэтому, лучше отказаться от вредных привычек, начать хорошо питаться и правильно отдыхать, заниматься физической культурой, но не слишком усердствуя.

Вопрос-ответ
Каковы осложнения миксоматозного заболевания митрального клапана?
Осложнения миксоматозного поражения митрального клапана включают инфекционный эндокардит, митральную регургитацию, внезапную смерть и инсульт. Сообщалось о связи пролапса митрального клапана со многими синдромами.

Что такое миксоматоз створок сердца?
Миксома – первичная, гистологически доброкачественная, внутриполостная опухоль сердца. Миксома сердца может вызывать повышение температуры тела, одышку, ортопноэ, кашель, кровохарканье, сердцебиение, слабость, анемию, похудение, головокружение, преходящую потерю сознания, отек легких, тромбоэмболии.
Советы
СОВЕТ №1
Регулярно проходите медицинские обследования, особенно если у вас есть предрасположенность к сердечно-сосудистым заболеваниям. Это поможет выявить проблемы на ранних стадиях и предотвратить развитие миксоматозной дегенерации митрального клапана.
СОВЕТ №2
Обратите внимание на свой образ жизни. Здоровое питание, регулярные физические нагрузки и отказ от вредных привычек, таких как курение и чрезмерное употребление алкоголя, могут значительно снизить риск сердечно-сосудистых заболеваний.
СОВЕТ №3
Если у вас уже диагностирована миксоматозная дегенерация митрального клапана, следуйте рекомендациям вашего врача и не пренебрегайте назначенными обследованиями. Это поможет контролировать состояние клапана и предотвратить возможные осложнения.
СОВЕТ №4
Обсуждайте с врачом любые изменения в вашем состоянии, такие как одышка, усталость или боли в груди. Эти симптомы могут указывать на ухудшение состояния и требуют немедленного внимания.
