Диагностика
Для адекватной терапии необходимо поставить точный диагноз. В процесс диагностики включают расспрашивание больного (сбор жалоб, анамнеза болезни), осмотр и проведение лабораторного и инструментального обследования.
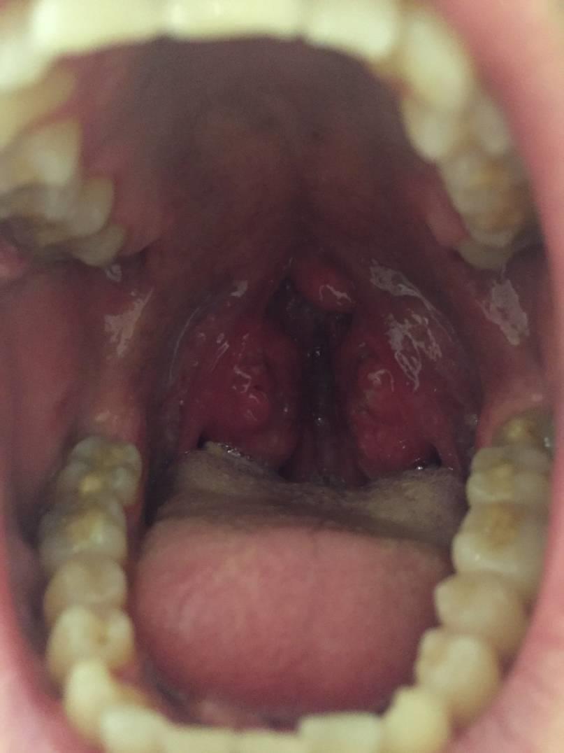
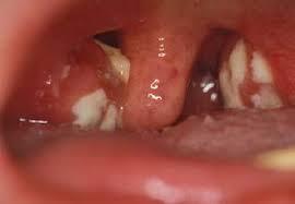
Исследовав пациента визуально и с помощью пальпации, доктор определяет увеличение и болезненность лимфатических узлов, наличие желтого или серого налета на миндалинах (признаки омертвения, или некроза, участков слизистой) , языке, на стенках глотки. На начальных стадиях развития язвенного типа ангины изменения поверхностные.
Во время визуального осмотра зева пациента определяется гиперемия (покраснение) гланд и стенок горла.
При гнойно-некротическом типе ангины проводятся такие лабораторные исследования:
- Общий клинический анализ крови.
- Бактериальный посев для определения микрофлоры.
- Тест на антигены.
- Полимеразная цепная реакция.
- Определение чувствительности возбудителей к антибиотическим препаратам.
Также необходимо провести дифференциальную диагностику, чтобы исключить развитие дифтерии, онкологического процесса, лакунарной ангины
Кроме того важно отличить некротический тонзиллит от сифилиса, туберкулеза
В общем анализе крови присутствуют изменения уровня лейкоцитов (повышение) и увеличение скорости оседания эритроцитов. Быстрый антигенный анализ необходим для обнаружения Бета-гемолитического стрептококка. Полимеразная цепная реакция позволяет выявить возбудителя по частичкам нуклеиновой кислоты – ДНК. При посеве можно определить, какими препаратами лучше лечить пациента, чтобы ликвидировать язвенно-некротическую форму ангины.
Врачи отмечают, что ангина Симановского-Плаута-Венсана, хотя и является редким заболеванием, требует внимательного подхода к диагностике и лечению. Это инфекционное заболевание, вызванное смешанной флорой, включает в себя как анаэробные, так и аэробные бактерии, что делает его лечение более сложным. Специалисты подчеркивают важность своевременного обращения к врачу, так как симптомы могут быть схожи с другими формами ангины. Ключевым моментом в терапии является назначение антибиотиков, которые должны быть подобраны с учетом чувствительности патогенов. Врачи также рекомендуют проводить местное лечение, включая полоскания антисептическими растворами, что способствует уменьшению воспаления и боли в горле. Профилактика заболевания включает в себя укрепление иммунной системы и соблюдение гигиенических норм, что особенно актуально в осенне-зимний период.

Чем опасны ангины?
На фото ангина Симановского
На первый взгляд, ангина представляет собой локальный воспалительный процесс миндалин. Однако в механизме развития данного заболевания происходит каскад различных биохимических, иммунологических и других реакций, затрагивающих весь организм. Поэтому несоблюдение принципов лечения и несерьезное отношение к данному заболеванию может привести к развитию таких осложнений, как:
- острая ревматическая лихорадка;
- нефрит (воспаление ткани почек) вплоть до развития тяжелой почечной недостаточности;
- неспецифический инфекционный полиартрит;
- формирование хронического тонзиллита и др.
Лечение гнойно-некротического тонзиллита
Терапия язвенно-пленчатого воспаления миндалин включает в себя как системные, так и местные лечебные мероприятия. Такое комбинированное лечение необходимо для предотвращения развития осложнений заболевания. Также важен и режим питания.
Медикаментозное лечение предназначено для ликвидации симптоматики и этиологического фактора. К симптоматической терапии относят прием таблеток от головной боли (например, «Анальгин», «Парацетамол», «Аспирин»). Для устранения причины некротической ангины применяют антибиотические препараты. Необходимые лекарства подбираются лечащим доктором после бактериологического посева. Средства, к которым возбудитель не чувствителен, использовать нельзя. Это обусловлено не только отсутствием эффекта, но и риском развития резистентности микрофлоры к антибиотикам.
Группы средств, которые применяются для лечения некротического тонзиллита:
- Макролиды («Азитромцин», «Мидекамицин», «Эритромицин», «Кларитромицин»).
- Пенициллины («Феноксиметилпенициллин», «Бензилпенициллин», «Амоксициллин»).
- Цефалоспорины («Цефилаксин», «Цефтриаксон», «Цефуроксим», «Цефепим», «Цефотаксим»).
Наиболее часто доктора рекомендуют использовать препараты с группы макролидов. Это обусловлено высокой эффективностью и минимальным влиянием на слизистую оболочку органов желудочно-кишечного тракта. Бактериостатическое действие препаратов способствует не только ликвидации патогенной микрофлоры, но и блокаде размножения отдельных бактерий, которые могли выжить.
Для быстрого выздоровления необходимо соблюдение диеты. В питание включается пища, богатая белком животного происхождения. К таким блюдам относят:
- мясо птицы, а также говядина, кролик;
- печенка;
- творог;
- кефир, йогурт;
- яйца.
Полезно есть продукты, богатые витаминами. Среди них свежие овощи и фрукты. Из шиповника, калины, клюквы можно готовить вкусные напитки, содержащие витамин С.
При лечении некротической формы ангины из рациона исключаются блюда, вызывающие раздражение слизистой. Это горячая или слишком холодная пища. Не рекомендуется употреблять твердую еду, так как она может механически повредить пораженные ткани. Пациенту не следует кушать острые, соленые, очень пряные блюда.
Ангина Симановского-Плаута-Венсана вызывает много обсуждений среди медицинских специалистов и пациентов. Многие отмечают, что это заболевание, хотя и редко встречающееся, может проявляться острыми симптомами, такими как боль в горле, неприятный запах изо рта и затрудненное глотание. Врачи подчеркивают важность ранней диагностики и адекватного лечения, чтобы избежать осложнений. Пациенты часто делятся своим опытом, отмечая, что своевременное обращение к специалисту и соблюдение рекомендаций по лечению значительно ускоряют процесс выздоровления. Также обсуждается роль антибиотиков в терапии, так как многие считают, что их применение существенно облегчает состояние. В целом, общественное мнение о заболевании формируется на основе личного опыта и рекомендаций врачей, что подчеркивает важность информированности и профилактики.

Другие заболевания из группы Болезни уха и сосцевидного отростка:
| Абсцесс мозга |
| Абсцесс мозжечка |
| Адгезивный средний отит |
| Адгезивный средний отит |
| Ангина Людвига |
| Ангина при кори |
| Ангина при скарлатине |
| Ангина язычной миндалины |
| Аномалии развития носа |
| Аномалии развития околоносовых пазух |
| Атрезия полости носа |
| Болезнь Меньера |
| Воспалительные заболевания среднего уха |
| Врожденная преаурикулярная фистула (околоушной свищ) |
| Врожденные аномалии развития глотки |
| Гематома и абсцесс носовой перегородки |
| Гипервитаминоз К |
| Гипертрофия лимфоидной ткани глотки |
| Гортанная ангина |
| Дифтерия глотки |
| Дифтерия полости носа |
| Зигоматицит |
| Злокачественные опухоли наружного уха |
| Злокачественные опухоли среднего уха |
| Изъязвление носовой перегородки |
| Инородные тела носа |
| Инородные тела уха |
| Искривление носовой перегородки |
| Кисты околоносовых пазух |
| Лабиринтит |
| Латентный средний отит у детей |
| Мастоидит |
| Мастоидит |
| Мирингит |
| Мукоцеле |
| Наружный отит |
| Наружный отит |
| Невринома преддверно-улиткового нерва |
| Нейросенсорная тугоухость |
| Носовое кровотечение |
| Ожоги и отморожения носа |
| Опухоли носа и околоносовых пазух |
| Орбитальные осложнения заболеваний носа и околоносовых пазух |
| Остеомиелит верхней челюсти |
| Острый гайморит |
| Острый гнойный средний отит |
| Острый первичный тонзиллит |
| Острый ринит |
| Острый синусит |
| Острый средний отит у детей |
| Острый средний серозный отит |
| Острый сфеноидит |
| Острый фарингит |
| Острый фронтит |
| Острый этмоидит |
| Отоантрит |
| Отогенный абсцесс мозга |
| Отогенный менингит |
| Отогенный сепсис |
| Отомикоз |
| Отосклероз |
| Парез лицевого нерва |
| Перихондрит наружного уха |
| Перфорация барабанной перепонки |
| Петрозит |
| Поражение полости носа при гриппе |
| Поражение полости носа при коклюше |
| Поражение полости носа при кори |
| Поражение полости носа при цереброспинальном менингите |
| Пороки развития уха |
| Профессиональные болезни уха |
| Ретроназальная ангина (острый аденоидит) |
| Рецидивирующий средний отит у детей |
| Ринит аллергический |
| Ринит атрофический |
| Ринит вазомоторный |
| Ринит простой хронический катаральный |
| Ринит хронический гипертрофический |
| Риногенный арахноидит |
| Риногенный менингит |
| Риносинусогенные внутричерепные осложнения |
| Рожа носа |
| Серная пробка |
| Серная пробка |
| Синдром Гольденара |
| Синдром Конигсмарка |
| Синдром Тричер-Коллинза (Франческетти) |
| Синехии носа |
| Синусит хронический |
| Скарлатинозное поражение полости носа |
| Субдуральный (внутриоболочечный) абсцесс |
| Субдуральный абсцесс |
| Тимпаносклероз |
| Тимпаносклероз |
| Травмы внутреннего уха |
| Травмы глотки |
| Травмы наружного уха |
| Травмы околоносовых пазух |
| Травмы среднего уха |
| Травмы уха |
| Тромбоз пещеристого синуса |
| Туберкулез уха |
| Тубоотит (евстахиит) |
| Фурункул преддверия носа |
| Холестеатома наружного уха |
| Хронические воспалительные заболевания полости носа |
| Хронический гнойный средний отит |
| Хронический гнойный средний отит |
| Экзема наружного уха |
| Экзема преддверия носа |
| Экссудативный средний отит |
| Экстрадуральный абсцесс |
| Экстрадуральный абсцесс |
Симптомы
Язвенно-некротическая ангина дебютирует с неприятных ощущений и определенной неловкости при глотании, которые в дальнейшем переходят в болевой синдром. Общее самочувствие ухудшается, однако, не в такой степени, как местные изменения в глотке. Температура тела чаще всего остается нормальной или поднимается до субфебрильных значений (не более 38 градусов). Болевые ощущения в начале ангины выражены слабо, однако с каждым днем дают все больше и больше о себе знать. В основном в патологический процесс вовлекается только одна сторона, но описаны случаи и двустороннего поражения.
При непосредственном осмотре области миндалин визуализируется пленка беловато-желтовато-серого цвета. По внешнему виду она напоминает пятно от стеариновой свечки округлой формы. Пленка мягкая (по консистенции), окружена воспалительным (красным, отечным) ободком по краю и легко снимается ватным тампоном, после чего на его месте остается изъязвленная поверхность желтоватого цвета с ровными четкими контурами, которая кровоточит.
На первых порах заболевания язвенная ангина поверхностная. Но в случае длительного течения заболевания, дефект в тканях становится глубоким, приобретает кратерообразную форму, распространяется за пределы миндалины, вовлекая глубокие ткани. Иногда в патологический процесс вовлекается слизистая оболочка десен, язык и даже надкостница.
Отличительной особенностью язвенно-некротической ангины являются малоболезненные увеличенные регионарные лимфатические узлы.
Изо рта отмечается неприятный гнилостный запах. Следует также отметить, что примерно в 10% случаев некротическая ангина сочетается с дифтерией.
При благоприятном течении заболевания, выздоровление наступает спустя 1 – 2 недели. Но ангина может затянуться и до нескольких месяцев, особенно если не проводилось адекватное лечение.
https://youtube.com/watch?v=XqZRP7LC2DU
Лечение ангины Венсана
При неосложненных формах ангина Венсана лечится от 1 до 3 недель с госпитализацией больного в инфекционный стационар. Для начала следует добиться того, чтобы патологический процесс не распространялся в полости рта и на прилегающие ткани. Для этого эрозионную поверхность миндалин очищают от налета посредством перекиси водорода (3%), полощут раствором фурацилина и перманганата калия. Йод как средство для обработки миндалин сегодня уступает новарсенолу, неосальварсану – препаратам действенным, но не таким агрессивным.
При сильной боли в первые несколько дней допускается прием анальгетиков. Зачастую на первых стадиях болезни пациенты отказываются от пищи совсем, провоцируя запоры, которые устраняются посредством клизмы или слабительных средств.
Чтобы этого избежать, больной должен придерживаться специальной диеты. Продукты должны быть богатыми витаминами и микроэлементами, но легко измельчаться до кашеобразного состояния. Следует помнить, что постоянное раздражение поверхности миндалин значительно затягивает процесс выздоровления.
В рацион больного следует включить творог, сливки, йогурты, яйца, овощное и фруктовое пюре, перетертые супы и каши, отварное мясо (обязательно в перетертом виде). Главный принцип – обильное теплое, но не горячее питье.
Антибиотики вводят внутримышечно. Со спирохетами – возбудителями этого типа ангины – качественно антибиотики группы пенициллинов. Вместе с тем рекомендуется строгий постельный режим несмотря на отсутствие температуры. Решение о приеме антибиотиков принимает лечащий врач, но этот тонзиллит редко лечится без их применения.
Если пенициллин противопоказан, используют цефалоспорины, макролиды. Последние дают меньше всего побочных эффектов и назначаются даже детям
Важно полностью пройти курс терапии, поскольку в противном случае вырабатывается устойчивость к препарату, провоцируя осложнения
Как лечить некроз миндалин?
Острое язвенно-некротическое воспаление миндалин требует своевременного и активного лечения. В основе терапевтических мероприятий лежит воздействие на возбудителя и вызванные им изменения в лимфоидной ткани.
Консервативная терапия
Главным направлением лечения становится консервативная коррекция, которая заключается в очистке миндалин и применении медикаментов. Для устранения возбудителя и уменьшения симптоматики используют следующие препараты:
- Антисептики (борная кислота, этакридина лактат, метиленовый синий, перманганат калия).
- Антибиотики (пенициллины).
- Нестероидные противовоспалительные (ибупрофен, парацетамол, нимесулид).
- Общеукрепляющие (аскорбиновая кислота, алоэ).
Особое внимание уделяется мероприятиям местной коррекции – удалению некротических масс, смазыванию миндалин и полосканию горла антисептиками. Такое лечение проводится под руководством ЛОР-врача
Санация миндалин сочетается с лечением других очагов инфекции в глотке и ротовой полости.
Хирургическое лечение
Неэффективность консервативных мероприятий и рецидивы некрозного процесса требует более радикальной тактики. В качестве хирургического метода лечения ангины Симановского-Венсана рекомендуют выполнять тонзилэктомию. Это позволяет полностью устранить патологический очаг и предотвратить развитие осложнений.
Возможные осложнения: чем опасно заболевание
В случае неадекватного лечения, или при несвоевременном обращении к доктору, возможно развитие последствий ангины. При этом осложнения могут быть как местными, так и генерализованными. К локальным относят состояния, при которых поражение определяется на прилегающих тканях. Второй вариант последствий развивается при проникновении патогенной микрофлоры в кровеносное русло. Это влечет за собой возникновение воспалительного процесса в отдаленных органах.
К местным осложнениям отоларингологи относят такие состояния:
- некроз тканей ротовой полости;
- абсцесс;
- кровотечение;
- перфорация твердого неба;
- разрушение десен;
- флегмона.
Список генерализованных последствий включает в себя:
- ревматоидную лихорадку;
- эндокардит;
- ревматизм;
- миокардит;
- сепсис;
- перикардит;
- гломерулонефрит.
Вероятность развития таких тяжелых последствий высока в случае неправильно подобранных препаратов, несоблюдения пациентом схемы лечения. В случае возникновения осложнений необходима госпитализация пациента. Только адекватные терапевтические мероприятия уберегут больного от усугубления патологического процесса.
Особенности язвенно-некротической ангины
Большинство людей тем или иным образом сталкивалось с такой неприятной болезнью горла, которой является ангина. Клинических форм этой болезни насчитывается великое множество. Каждая разновидность вызывается различными возбудителями. И у каждой форме свое специфическое течение.
В этой статье мы познакомимся с одной из редчайших форм заболевания это язвенно — некротическая ангина. В медицине она имеет еще ряд обозначений:
- Некротическая ангина.
- Ангина Венсана.
- Ангина Симановского Плаута Венсана.
- Язвенно пленчатая ангина.
Ангина Симановского Плаута Венсана первое описание симптомов получила благодаря русскому врачу Симановскому Н. П. Через несколько лет французские специалисты Венсант и Плаут смогли выделить главных возбудителей этой болезни. Ими стали веретенообразная и спиротеха. Взаимодействуя между собой, они вызывают гнойно — воспалительный процесс в миндалинах.
Такая форма ангины впервые была выявлена русским врачом Боткиным. Во время эпидемии в Финляндии он хорошо познакомился с ней и окрестил ее финляндской жабой. У нее существует также и еще одно знаковое назание это окопная болезнь. Так ее окрестили участники первой мировой войны. Она являлась распространенным заболеванием среди солдат на фронте.
Веретенообразная палочка и спиротеха живут в слизистой полости рта любого человека. А вот чтобы они стали причиной гнойно — воспалительного процесса на них должны повлиять определенные факторы. Вот основные из них по причине которых может возникнуть ангина Венсана:
- Человек подвержен хроническим заболеваниям горла.
- Гиповитаминоз.
- Алиментарная дистрофия.
- Запущенный кариес зубов.
- У людей чей организм ослаблен после продолжительной болезни.
- Физическое истощение организма.
В большинстве случаев язвенно-пленчатая ангина это заболевание конкретного человека. Но в истории известны вспышки инфекции в виде эпидемии. В основном это происходит в социально неблагополучных регионах.
Стоит отметить, что фактор запущенного кариеса не возможен в беззубых периодах жизни человека. Поэтому старики и маленькие дети не подвержены этому заболеванию.
Ангина Венсана характерна тем, что общее самочувствие у заболевшего остается на уровне обычного, или имеет совсем небольшие отклонения.
К докторам люди обращаются с жалобами на гнойно — воспалительные процессы, вызывающие дискомфорт в горле, а также гнилостный запах и обильное слюноотделение.
В редких случаях гнойно воспалительные процессам сопутствует озноб и подъем температуры тела больного выше 37 градусов. Еще одни отличием данного вида ангины является гнойно воспалительное поражение одной миндалины. Только в редких случаях заболевание проходит в виде двухстороннего гнойно воспалительного процесса.
Для пораженной миндалины характерно увеличение в размерах. Она покрывается серовато — желтым налетом с дурным запахом. Его легко можно убрать медицинским шпателем. Симптомы гнойно воспалительного поражения проходят за 2 недели.
Гнойно воспалительный процесс часто затрагивает и соседние ткани полости рта и горла. Могут поражаться и слизистая щек и мягкое небо. Иногда болезнь протекает в сочетании со стоматитом.
В период болезни существует вероятность резкого изменения клинической картины. Такое изменение возможно при присоединении кокковой инфекции. Такой тандем вызывает повышенную интоксикацию и ужасную боль в горле. Возможно резкое ухудшение состояния больного и высока вероятность осложнений. В таком случае необходима срочная госпитализация заболевшего.
Главным оружием для лечения такой формы ангины являются антибиотики. Обычно это внутримышечные уколы пенициллина. В случаях тяжелой формы болезни применяются более серьезные препараты из этой группы. При любой форме болезни обязательно проводить лечение под наблюдением врача.
Если есть возможность то больного рекомендуется изолировать и выделить ему отдельную посуду. Питье должно быть обильным, а еда должна быть не тяжелой, но в тоже время богата белками и полезными витаминами. В комплексе с лекарственными препаратами обязательно назначаются и витаминные препараты с общеукрепляющим эффектом.
В совокупности с инъекциями рекомендуется применять и антисептические растворы для обработки пораженных участков или полоскания. Ими являются фурацилин, раствор марганцовки. В случаях когда лечение лишь на время останавливает болезнь и ангина приобретает хроническую форму врачи рекомендуют подумать о удалении миндалин. Такая мера убережет от осложнений в дальнейшем.
Язвенно-некротическая ангина — симптомы и лечение
Некротическая ангина – одна из самых тяжелых и опасных форм поражения миндалин. Если вы хотите сохранить собственное здоровье и жизнь, а также избавиться от тяжелых проявлений такого заболевания, прислушайтесь к нашим советам.
При наличии симптомов некротической ангины следует обязательно обратиться к врачу. В процессе обследования доктор может обнаружить на миндалинах:
- серый или желтый налет;
- язвы с неровными краями.
Также врач обязательно обследует лимфатические узлы – практически при любом виде ангины они увеличены и болят.
Как лечить некротическую ангину?
Некротическая ангина – заболевание, с которым шутить не стоит. Немедленно отправляйтесь к врачу, который проведет осмотр и назначит исследования. По результатам анализов будут прописаны препараты и рекомендованы процедуры для скорейшего избавления от ангины:
Антибиотики – пенициллин, амоксициллин и прочие медикаменты устранят не только проявления ангины, но и причину, по которой возникло заболевание. Помните, что одними ингаляциями симптомы язвенно — некротической ангины вылечить невозможно – антибиотики при некротической ангине являются обязательной мерой.
Обезболивающие средства – пастилки, леденцы, спреи, сиропы, капли помогут уменьшить боль в области горла и носа, сделав течение болезни более комфортным.
Жаропонижающие препараты – парацетамол и лекарства, производимые на его основе, помогут снизить температуру, если она есть
При лечении язвенно — некротической ангины с осторожностью отнеситесь к аспирину – беременным, кормящим матерям и детям его принимать нельзя
Ингаляции – при некротической ангине можно проводить процедуру в больнице с помощью небулайзера или дома, подышав над паром от вареного картофеля. Также можно проводить ингаляции с использованием эфирных масел и трав.
Полоскания горла – используйте растворы из соли, фурацилина, марганцовки, свекольного или морковного сока, лекарственных трав.
Лечение язвенно — некротической ангины нужно проводить своевременно!
Очень важно соблюдать следующие правила:
- придерживаться постельного режима;
- пить как можно больше жидкости;
- есть продукты, богатые белком и витамином С;
- соблюдать все рекомендации врача и не прерывать назначенный курс лечения.
О заболевании некротической ангиной можно судить по наличию следующих признаков:
- пониженная температура тела (хотя она может оставаться и нормальной);
- неприятный запах изо рта;
- ощущение инородного тела в области горла;
- чрезмерно сильное слюноотделение при некротической ангине;
- боли в области шеи;
- образование налета на миндалинах.
По сути, некротической ангиной можно считать форму острого тонзиллита, который протекает в виде некроза – омертвения тканей миндалин, пораженных инфекцией. Возбудителями некротической ангины являются веретенообразованные палочки и устные спирохеты, которые могут активизироваться под воздействием различных раздражителей. Так, например, часто некротическая ангина возникает на фоне переохлаждения, слабого иммунитета, как осложнение на фоне основного заболевания и т.д.
Развитие некротической ангины может быть вызвано следующими факторами:
- инфекционные заболевания;
- наличие бактерий на деснах;
- кариес;
- снижение реактивности;
- острый лейкоз и прочие заболевания крови;
- дифтерия;
- скарлатина.
Помните, что симптомы язвенно — некротической ангины достаточно опасны и очень важно лечить ее под контролем специалистов. Своевременное обращение к врачу – залог успешного выздоровления!
Оставьте комментарий:
ТОП-10 полезных для здоровья радостей жизни. Иногда можно!
ТОП препаратов, способных увеличить длительность вашей жизни
ТОП-10 методов продления молодости: лучшие средства против старения
Все материалы сайта защищены законом об авторских правах
Последствия
Одна из особенностей болезни – отсутствие температуры – вводит некоторых пациентов в заблуждение, и они начинают воспринимать свое состояние не всерьез. Такой подход часто приводит к распространению некротических пленок и углублению образовавшихся язв.
В некоторых случаях они могут спровоцировать кровотечения, прободение костной стенки между ртом и носовой полостью. Распространение инфекции опасно для десен, языка, щек, глотки по причине возможного омертвления больших участков слизистых.
Профилактические меры
В XIX веке, когда данный вид заболевания впервые научно описали, он носил массовый характер, ведь уровень жизни населения был низким. Несложно предположить, что и в более ранние периоды болезнь поражала большое количество людей.
С улучшением благосостояния жителей планеты, заболевание приобрело статус редкого. Это связано как с повышением уровня медицинского обслуживания, так и с возможностью людей полноценно питаться.
Профилактика заключается в элементарных правилах:
- регулярно посещайте стоматолога
- следите за разнообразием в питании
- не пропускайте профилактические осмотры в поликлинике
- соблюдайте элементарные гигиенические правила
Помогают поддерживать ротовую полость в хорошем состоянии ополаскиватели. Об их пользе и правилах выбора – далее в видео:
Если в какой-то момент ваш организм дал сбой, и на одной из миндалин появилась серо-желтая пленка – не паникуйте и обратитесь за медицинской помощью. Только врач может установить правильный диагноз. Помните, что ангина Симановского-Венсана имеет симптомы, схожие с более опасными заболеваниями, требующими узкоспециализированной диагностики и лечения.
Будьте бережны и внимательны к своему здоровью – выберите подходящего вам врача и запишитесь на приём по телефону: 8 (499) 969-20-36 (для жителей Москвы и Московской области).
Профилактика
Для предотвращения развития язвенно-некротической ангины, необходимо соблюдать несколько несложных правил. Прежде всего, важна своевременная санация всех патологических очагов инфекции, к этому можно отнести лечение кариеса и пародонтоза. Также для профилактики ангины нужно исключить переохлаждения, контакты с носителями заболевания.
Закаливание организма и занятие спортом – хорошие способы уберечь себя от заболевания. Такие методы помогают стимулировать защитные резервы организма. Правильное питание также способствует укреплению иммунной системы. В рацион обязательно нужно включить продукты с высоким содержанием витаминов. Необходимо полное исключение спиртных напитков, отказ от курения.
Язвенно-некротический тонзиллит лучше предотвратить. Так как многие пациенты считают, что у них очередная обычная простуда
Поэтому должное внимание лечению не уделяется и возникают тяжелые осложнения. Некоторые из них могут повлечь за собой летальный исход (например, сепсис), особенно если ослаблен иммунитет. Только специалист способен уберечь пациента от таких последствий
Только специалист способен уберечь пациента от таких последствий.
Лечение заболевания медикаментами
Лечение ангины разновидности Симановского Венсана происходит физиотерапевтическими методами и терапевтическими средствами. Только на основании содержания результатов диагностики назначается антибактериальная терапия. В данной ситуации отлично проявляются себя в лечебном процессе следующие группы антибиотиков:
- Цефалоспорины: Цефазолин, Цефаликсин,Цефалоридин;
- Пенициллины – Бензил- или Феноксиметилпенициллин, а также Амоксициллин;
- Азалиды – Зитролид, Хемомицин, Суммамед;
- Макролиды – Эритро-, Мидека-, Кларитро- или Азитромицин.
Если проявляется тяжелый воспалительный процесс, то необходимо прислушаться к комментариям терапевта и проколоть антибиотики внутривенно или внутримышечно. Если развиваются такие осложнения как гнойная флегмона или абсцесс, то больной госпитализируется в условия стационара.
Наравне с антибиотикотерапией назначается местное воздействие на небные миндалины в виде смазывания каждые 2 часа раствором Люголь, Новарсенолом или Неосальвареном и полоскание ротовой полости, гортани антисептиками. К последним относятся такие препараты как Мирамистин, Хлорофиллипт, раствор Фурацилина.
Если у пациента обнаруживается повышение температуры тела, рекомендуется применять дополнительно препараты, направленные на устранение жара и понижения высоких отметок градусов до нормального состояния пациента. Также стоит применять анальгетические лекарства с целью купирования болевого синдрома во время употребления пищи.
Обязательно осуществляется насыщение организма витаминами, особенно группы В и аскорбиновой кислотой. Эти вещества воздействуют на организм в качестве дезинтоксикации. Требуется наладить питьевой режим – больше вводить любой жидкости, кроме алкоголя и газировки.
Народное лечение ангины Плаута Венсана
Кроме медикаментозных препаратов врач может назначать воздействие на очаг воспаления с помощью лекарственных трав.
В период обострения при сильно проявляющихся признаках для быстрейшего выздоровления рекомендуются следующие правила лечения:
- В качестве обработки язв часто наносится 60% сахарный сироп. Его можно заменить пудрой.
- Соединить в одинаковых пропорциях шалфей, чабрец, лаванду, ягоды сушеные можжевельника. Полученный материал в размере 1 ст.л. залить 0,2 гр. кипятка. Настоять на водяной бане ¼ часа, помешивая часто. На основе приготовленного настоя делать ингаляции в течение 5 минут.
- Раствор для полоскания на основе соли и соды по 1 ч.л. на 0,2 гр. теплой кипяченой воды.
- Морская вода в качестве полоскания ротовой полости;
- Настойка из лиственных пластин подорожника.
Самостоятельно излечить заболевание с помощью народной медицины невозможно. Но использовать лекарственные настои как полоскание или ингаляции можно.
Лечение язвенно-некротической ангины Симановского-Плаута-Венсана
Ангиной называют острое поражение небных (тонзиллярных) миндалин. Редкой формой инфекционной патологии является ангина Симановского-Плаута-Венсана.
Болезнь отличается весьма характерной клинической картиной и, как правило, хорошо лечится.При легком течении бывает достаточно местной терапии, а при тяжелом – показан прием антибактериальных средств.
При значительном распространении процесса, развитии осложнений может потребоваться госпитализация.
статьи:
Возбудители болезни и пути развития
Причиной ангины Симановского-Плаута-Венсана (также называемой язвенно-некротической, гангренозной, ангиной без температуры, «окопной», «финляндской жабой») служит симбиотическая ассоциация веретенообразной палочки и спирохеты ротовой полости (спирохеты Венсана).
Такие микроорганизмы – нормальные обитатели полости рта, которые «проживают» в десневых карманах и лакунах небных миндалин.
Поэтому ангина Симановского-Венсана часто рассматривается как форма фузоспирохетоза (особого некротического воспаления миндалин и слизистой рта).
Заболевание незаразное и, обычно, носит единичный характер, хотя при возникновении определенных условий, возможны эпидемические вспышки. Патогенными микробы становятся:
- у ослабленных иными болезнями лиц;
- у лиц с иммунодефицитом;
- при недостаточном потреблении белка, аминокислот;
- при дефиците витаминов;
- при переутомлении;
- вследствие хронической интоксикации организма (курение, злоупотребление алкоголем, прием наркотиков, вредное производство);
- в случае запущенного состояния полости рта с развитием кариесных поражений, гингивита, парадонтита и пр.
Поскольку, зачастую запускающим фактором язвенно-некротической ангины оказывается простуда, то становится понятным рост заболеваемости в осенне-зимний период.
Например, в результате осложнения после гриппа, симптомы которых описаны на этой странице.
Патологический процесс может локализоваться не только на миндалинах, но и на деснах, слизистой щек.
Патологический процесс может затрагивать даже половые органы.
Методы лечения
При легком течении можно ограничиться местным лечением в виде:
- полосканий растворами антисептиков (перекиси водорода, марганцовки), отварами трав (эвкалипта, ромашки, ягоды брусники (о полезных свойствах здесь прочитаете) и пр.);
- обработки поверхности язвы йодной настойкой, раствором метиленового синего, 10% раствором на глицерине новарсенола, припудриванием порошком осарсола;
- жаропонижающих/обезболивающих средств при необходимости;
- адекватного питания щадящей богатой витаминами пищей;
- витаминотерапии.
Иногда рекомендуется смазывание язвы 60%-ным сахарным сиропом либо присыпание сахарной пудрой несколько раз в сутки.
При тяжелой форме назначают лечение антибиотиками пенициллинового ряда и никотиновой кислотой (в виде инъекций).
Возможные осложнения
Осложнения ангины Симановского-Венсана возникают при вторичном инфицировании иными бактериями (стафило-, стрептококками) области поражения, что приводит к развитию:
- паратонзиллярного абсцесса;
- абсцесса языкового корня;
- заглоточного абсцесса;
- флегмон;
- гангренозного разрушения тканей полости рта;
- сепсиса.
Профилактические меры
Профилактика ангины Симановского включает:
- полноценное сбалансированное питание;
- своевременную санацию ротовой полости;
- витаминотерапию при наличии дефицита соответствующих веществ;
- адекватную терапию хронических патологий, приводящих к снижению иммунитета.
Краткий перечень лекарственных средств
Для лечения заболевания в аптеках можно приобрести:
- раствор 3%-ный Пероксида водорода — 3 – 47 руб.;
- Перманганат калия – 11 – 60 руб.;
- Йод – 6 – 47 руб.;
- Бензилпенициллина натриевую соль – 4 – 15 руб.;
- Никотиновую кислоту (для инъекций) – 20 – 125 руб.
А вам известно, какими лекарствами лечится дифтерия, фото и описание болезней можно посмотреть после перехода на предлагаемую страницу.
Прочитать про препараты для лечения ларингита у детей сможете в этой статье.
На странице: http://uho-gorlo-nos.com/gorlo/g-lechenie/laringita.html написано про народные методы лечения ларингита.
Ангина Симановского-Плаута-Венсана – довольно редкое заболевание с характерными проявлениями, позволяющими своевременно диагностировать патологию.
Адекватное лечение местными средствами либо с помощью антибиотиков позволяет избежать развития серьезных осложнений.
В предлагаемом видеоролике рассказывается о быстром лечении ангины у детей с помощью электронного медицинского прибора.
Вопрос-ответ
Какая микробная флора вызывает ангину симановского плаута Венсана?
Возбудитель ангины Симановского — Плаута — Венсана (язвенно-плёнчатой) — условно-патогенные бактерии, веретенообразная палочка Плаута — Венсана и спирохета Венсана. Болезнь развивается на фоне сниженного иммунитета.
Как лечить ангину симановского?
Прием антибиотиков для устранения патогенной микрофлорыСмазывание очагов поражения антисептическими растворамиПолоскания горла обеззараживающими и смягчающими средствами
Что является отличительным признаком ангины симановского плаута Венсана?
Ангина Симановского-Плаута-Венсана Симптомы заболевания имеют слабовыраженное или не выраженное проявление. Чаще всего пораженной остается одна миндалина, на поверхности которой формируются язвочки, с налетом серого или зеленого цвета.
Заразна ли ангина Венсана?
Введение. Ангина Венсана — это опасная для жизни и умеренно заразная инфекция слизистых оболочек полости рта. Эта инфекция также известна как окопный рот, острый некротизирующий язвенный гингивит (ANUG), фузоспирохетозный гингивит, стоматит Венсана и инфекция Венсана (1-4).
Советы
СОВЕТ №1
Обратите внимание на симптомы. Ангина Симановского-Плаута-Венсана может проявляться болями в горле, неприятным запахом изо рта и затруднением при глотании. При появлении этих признаков не откладывайте визит к врачу для диагностики и назначения лечения.
СОВЕТ №2
Следите за гигиеной полости рта. Регулярная чистка зубов и использование антисептических ополаскивателей помогут предотвратить развитие инфекции и снизить риск ее повторного появления.
СОВЕТ №3
Соблюдайте режим питья. Употребление достаточного количества жидкости поможет поддерживать слизистую горла в увлажненном состоянии и облегчит симптомы. Отдавайте предпочтение теплым напиткам, таким как травяные чаи или бульоны.
СОВЕТ №4
Не забывайте о сбалансированном питании. Включение в рацион витаминов и минералов, особенно витамина C, поможет укрепить иммунную систему и ускорить процесс выздоровления. Избегайте острого и кислого, чтобы не раздражать горло.




























































