На сегодняшний день существуют различные методы исследования патологий сердечно-сосудистой системы, которые отличаются эффективностью и стоимостью. Сегодня людей больше всего интересует стоимость коронографии сердца в Бакулева, так как эта методика является очень эффективным средством в арсенале современных кардиологов. Она представляет собой рентгенографический метод исследования, который дает возможность детально исследовать коронарную артерию, определить точное место сужения ее просвета атеросклеротической бляшкой, выяснить, какой характер и протяженность носит это сужение, то есть, своевременно диагностировать ишемическую болезнь и своевременно оказать помощь больному. Обычно эта медицинская процедура назначается пациентам, которым в скором времени планируется проведение стентирования или шунтирования. В зависимости от результатов этого исследования и будет определена максимально подходящая операция для конкретного случая и для больного.
Исходя из вышесказанного, можно точно сказать, что такое коронография сердца – это самый мощный и самый действенный метод исследования сердечных сосудов на сегодняшний день.
Показания и противопоказания к проведению данного исследования
Несомненно, всех больных, страдающих ишемической болезнью и атеросклерозом, волнует вопрос, сколько стоит коронография сердечного органа. Но прежде, чем говорить о стоимости этой процедуры, необходимо выяснить, по каким показаниям она назначается и какие имеет противопоказания. Показаниями этой врачебной процедуры являются:
- при возникновении сложностей во время диагностирования болезни;
- при предустановленном диагнозе ИБС;
- для того чтобы определить конкретную операцию больному в его случае, а именно, шунтирование или стентирование.
Если говорить о строжайших противопоказаниях этой методики, то их не имеется. Она проводится исключительно при согласии больного. Не рекомендуется ее проводить больным, страдающим анемией, ожирением или, наоборот, с низкой массой тела, сахарным диабетом, при различных поражениях легких и при почечной недостаточности.
Кроме того, не желательное проведение процедуры при повышенной температуре тела, при нарушениях свертываемости крови у больного, а также людям старческого возраста. Если у больного возникает аллергическая реакция на контрастное вещество, то он обязательно должен предупредить об этом врача, иначе это может привести к побочным действиям, типа сыпи, отечности, к пониженному давлению, при тяжелых случаях, даже к анафилактическому шоку.
Поэтому, прежде чем узнавать стоимость коронографии сердца, необходимо проконсультироваться с врачом и выяснить, нужна вам эта методика и не имеете ли вы противопоказаний к ее проведению.
Коронография сердца — это важный диагностический метод, который позволяет врачам оценить состояние коронарных артерий и выявить наличие стенозов или других патологий. Специалисты подчеркивают, что данная процедура является ключевой для диагностики ишемической болезни сердца и других сердечно-сосудистых заболеваний. Во время коронографии в сосуды вводится контрастное вещество, что позволяет получить четкие изображения артерий на рентгеновских снимках. Врачи отмечают, что этот метод не только помогает в диагностике, но и может быть использован для планирования дальнейшего лечения, включая ангиопластику или установку стентов. Несмотря на минимальные риски, связанные с процедурой, специалисты рекомендуют ее проводить при наличии показаний, так как своевременная диагностика может существенно улучшить прогноз для пациента.

Подготовка и проведение исследования сосудов
Безусловно, всех людей, которые нуждаются в данной методике, интересует, как делают коронографию сердца. Для начала пациента подготавливают к проведению процедуры, а именно, не разрешают употреблять пищу, так как в процессе может возникнуть тошнота или рвота, что значительно усложнит процесс. Операция проводится под местной анестезией, человеку прокалывают крупную артерию, чаще всего это паховая артерия, так как она является наиболее надежной. В проколотое отверстие вставляют специальную трубку, через которую и будет осуществляться ввод всех необходимых инструментов в дальнейшем.
Внимание! Не стоит бояться и переживать, что эта процедура проводится не под общим, а под местным наркозом. Пациент ничего не будет ощущать, кроме самого введения анестезии.
Если у человека это не первая подобная операция, тогда возможно он сможет ощутить неприятное чувство в месте введения. Это связано с тем, что обезболивающее в одной и той же зоне при повторном введении, действуют немного слабее.
Более подробно о действии анестезии и ощущениях, можно узнать, почитав отзывы о коронографии, оставленные на различных форумах и сайтах от пациентов, которые уже перенесли эту процедуру, а некоторые, не один раз.
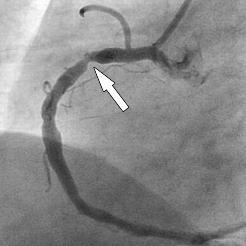
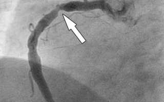
После того как пластиковая трубка будет установлена в артерии, через нее запускают специальное контрастное вещество, которое растекается плавно по ней. В это время врач тщательно следит за осуществлением процедуры и при помощи рентген аппарата производит соответствующие снимки. Исходя из того, что человек имеет две главнейших артерии, то катетер устанавливается сначала в одну, потом — в другую. Снимки делаются для каждой артерии под различными углами. Затем хирург проводит анализ полученных снимков и выясняет наличие и количество закупорок, а также сужение сосудов и их локализацию. Подробнее узнать о данной методике, а также увидеть ее проведение, можно, просмотрев видео, где показано, как делают коронографию сердца.
Коронография сердца — это важный диагностический метод, который позволяет визуализировать коронарные артерии и оценить состояние сердечно-сосудистой системы. Люди часто отмечают, что процедура помогает выявить проблемы, такие как сужение или блокировка сосудов, что может предотвратить серьезные осложнения, включая инфаркт миокарда. Многие пациенты делятся положительными впечатлениями о процессе: несмотря на некоторый дискомфорт, они чувствуют себя в надежных руках врачей. Также важно, что результаты коронографии помогают врачам разработать индивидуальный план лечения, что повышает шансы на успешное восстановление. Однако некоторые пациенты выражают опасения по поводу инвазивности процедуры и возможных рисков. В целом, большинство людей считают коронографию необходимым шагом для поддержания здоровья сердца и предупреждения серьезных заболеваний.
Какие может вызвать осложнения данное исследование
Обычно данное рентгенографическое исследование артерий является абсолютно безболезненной процедурой, к тому же безопасной. Но, в некоторых случаях, могут возникнуть небольшие осложнения. Если говорить о тяжелых последствиях, то они крайне редки и составляют не более 2%. Смерть во время процедуры может наступить очень редко, и в медицинской практике таких случаев наблюдалось очень мало.
Незначительные осложнения коронографии сердца могут возникнуть лишь в области прокола артерии, к ним можно отнести:
- гематому или диссекцию;
- тромбоз;
- аневризму.
Все эти небольшие осложнения замечательно лечатся в больничных условиях и не представляют существенной опасности для жизни человека. Узнать об ощущениях, осложнениях, а также стоимости процедуры в различных медицинских учреждениях, вы можете, открыв в Интернете нужный форум и почитать отзывы больных об коронографии сердца, которые уже сталкивались с этой методикой и могут поделиться своими впечатлениями.


Вопрос-ответ
Что такое коронография и для чего она проводится?
Коронография — это медицинская процедура, которая позволяет визуализировать коронарные артерии сердца с помощью рентгеновского излучения и контрастного вещества. Она проводится для диагностики заболеваний сердца, таких как ишемическая болезнь, а также для оценки состояния артерий перед хирургическим вмешательством.
Как проходит процедура коронографии?
Процедура коронографии обычно проводится в специализированном кабинете с использованием рентгеновского оборудования. Пациенту вводят контрастное вещество через катетер, который помещается в артерию, после чего делают рентгеновские снимки. Процедура занимает около 30-60 минут и требует минимальной подготовки.
Какие риски связаны с коронографией?
Хотя коронография считается безопасной процедурой, существуют некоторые риски, такие как аллергическая реакция на контрастное вещество, кровотечение или инфекция в месте введения катетера, а также повреждение сосудов. Важно обсудить все возможные риски с врачом перед процедурой.
Советы
СОВЕТ №1
Перед проведением коронографии обязательно проконсультируйтесь с врачом. Обсудите все свои симптомы, медицинскую историю и возможные риски, чтобы получить полное представление о процедуре и ее необходимости.
СОВЕТ №2
Убедитесь, что вы правильно подготовились к процедуре. Это может включать отказ от пищи и жидкости за несколько часов до коронографии, а также прекращение приема некоторых лекарств, если это предписано врачом.
СОВЕТ №3
После процедуры следуйте рекомендациям врача по восстановлению. Это может включать отдых, ограничение физической активности и наблюдение за состоянием в течение нескольких дней, чтобы избежать осложнений.
СОВЕТ №4
Не стесняйтесь задавать вопросы и выражать свои опасения. Понимание процесса коронографии и его результатов поможет вам лучше справляться с возможными последствиями и принимать обоснованные решения о дальнейшем лечении.


